Programm am Samstag 13.06.2026
DGI Spezial 2026
Keine Angst vor Risiko-Patienten:
"Die Herausforderung zum Erfolg führen“
Fit werden für die Patientengruppe der Zukunft "Komprommitierte Patienten"
Die aktuelle Mundgesundheitsstudie zeigt: in der Gruppe der jungen Erwachsenen bis 44 Jahre hat sich die Anzahl der Zähne mit Karieserfahrung in den letzten 30 Jahren halbiert. Für Implantologen und Implantologinnen heißt das: Restaurationszyklen verschieben sich, das Durchschnittsalter beim ersten Implantat steigt und größere Defekte treten zunehmend erst im hohen Alter auf.
Die Konsequenz: kompromittierte Patienten sind zukünftig eher die Regel als die Ausnahme. Es wird also zunehmend wichtiger, dass Zahnärztinnen und Zahnärzte für diese Patientengruppe gut aufgestellt sind, wissen, worauf zu achten ist und welche Behandlungen jeweils nötig und möglich sind.
Eine Kontraindikation verschwindet
Dank technischer und klinischer Fortschritte gehört das Paradigma „kompromittierter Patient = Implantat-Kontraindikation“ der Vergangenheit hat. Praxisnahe Behandlungsmethoden und -kriterien haben ihren Weg in Leitlinien gefunden und ermöglichen im Rahmen verlässlicher Leitplanken eine Therapie kompromittierter Patienten.
Wissen-Nuggets für die Therapie von gesunden Patienten
Ein spannender Aspekt bei dieser Veranstaltung ist auch die Frage, was Zahnärztinnen und Zahnärzte aus einer Behandlung kompromittierter Patienten für die Therapie gesunder Menschen ableiten können.
Das DGI-Spezial findet in Kooperation mit der ZÄK Nordrhein statt. Es wird am Nachmittag abgerundet durch vier Industrie-Workshops mit Hands-on-Übungen, die auch manuell fit machen für den nächsten Behandlungstag.
das Programm
Wissenschaftliches Programm
08:30
– 08:45
Begrüßung und Moderation
Dr. Dr. habil. Georg Arentowicz / Prof. Dr. Thomas Weischer
08:45
– 09:40
DGI-Leitlinien zu Implantat-Versorgungen bei kompromittierte Patienten
Prof. Dr. Dr. Knut A. Grötz
09:40
– 10:40
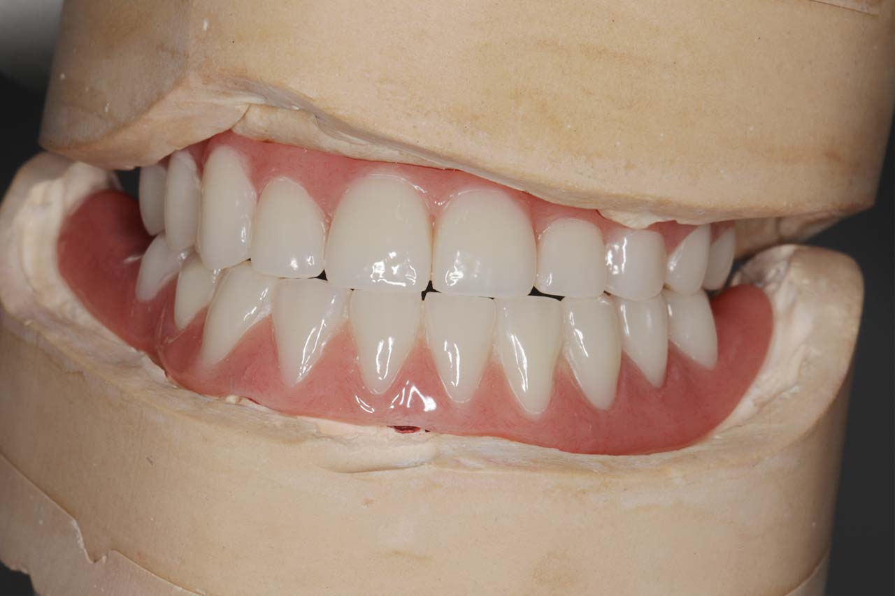
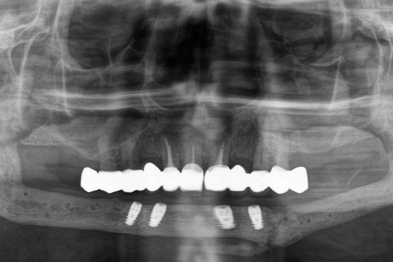
Nutzen des digitalen Workflows bei der prothetischen Rekonstruktion kompromittierter und gesunder Patienten
Prof. Dr. Dr. Walter Lückerath, Bonn
10:40
– 11:00
Pause und Besuch der Industrieausstellung
11:00
– 12:00
„Implantat-Chirurgie kompromittierter Patienten und was können wir für Gesunde daraus lernen?
OÄ Dr. Marie-Sophie Katz, Aachen
12:00
– 13:00
„Implantatprothetik – Unterschiede zwischen kompromittierten und gesunden Patienten“
Prof. Dr. Sven Reich
13:00
– 13:45
Mittagspause und Besuch der Industrieausstellung
13:45
– 15:45
4 verschiedene Workshops der Industrie
Moderation
Dr. Dr. habil.
Georg
Arentowicz
1. Stellvertretender Vorsitzender LV Nordrhein-Westfalen
Zahnarztpraxis
Köln
Prof. Dr.
Thomas
Weischer
2. Stellvertretender Vorsitzender LV Nordrhein-Westfalen
Implantatzentrum, Universitätsklinik für MKG-Chirurgie, plastische Operationen, Kliniken Essen-Mitte
Essen
Referierende
Prof. Dr. Dr. med.
Knut A.
Grötz
Wiesbaden
OÄ Dr.
Marie Sophie
Katz
Universitätsklinikum der RWTH Aachen
Aachen
Prof. Dr. Dr.
Walter
Lückerath
Prof. Dr.
Sven
Reich
Universitätsklinikum der RWTH Aachen
Aachen
Details
Samstag 13.06.2026
08:30 - 16:00
Zahnärztekammer Nordrhein
Hammfelddamm 11
41460 Neuss
Hammfelddamm 11
41460 Neuss
Fortbildungspunkte: 7
Gebühren
Kursgebühr | inkl. 19% MwSt. |
|---|---|
APW-Mitglied | 464,10 € |
Nicht-Mitglied | 535,50 € |
Junge Zahnmedizin DGI-Mitglied | 142,80 € |
Anmeldung
Kontakt
Sabine
Ahlers
DGI Fortbildung / Organisation/ Fortbildungskoordination
DGI GmbH
Karlstr. 60
80333
München
+49 (0) 89 55 05 209-10
Sabine
Ahlers
DGI Fortbildung / Organisation/ Fortbildungskoordination
DGI GmbH
Karlstr. 60
· 80333
München
+49 (0) 89 55 05 209-10








