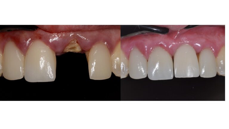
Sofortimplantation und Sofortversorgung – vom Einzelzahn bis zum zahnlosen Kiefer
Konzepte für die Sofortimplantation und Sofortversorgung gewinnen seit einigen Jahren zweifelsfrei an Bedeutung. Besonders bei günstigen anatomischen, aber auch entsprechend positiven patientenspezifischen Faktoren ist die Sofortimplantation und Sofortversorgung besonders beim Einzelzahnersatz Mittel der Wahl. Sie sollte darum im Behandlungsspektrum implantologisch tätiger Zahnmediziner/-innen, Chirurgen und Chirurginnen nicht fehlen. Die modernen Sofort-Konzepte verkürzen nicht nur die Behandlungsdauer erheblich, sondern begrenzen auch resorptive Vorgänge, die oftmals augmentative Maßnahmen nach sich ziehen.
Doch ist es wirklich so einfach: Zahn raus, Implantat rein, Krone drauf – und schon sind alle glücklich, Patient und Behandler? Und sind Sofortimplantation und Sofortversorgung ein universell einsetzbares Behandlungsprotokoll? Dies ist keineswegs der Fall. Besonders bei initialen Hart- und Weichgewebedefiziten sollte die Indikation genau geprüft und das chirurgische Vorgehen angepasst werden.
Die Teilnehmerinnen und Teilnehmer an diesem Kurs lernen daher, die Indikation richtig zu stellen. Vermittelt werden auch die erforderlichen Grundkenntnisse und Fähigkeiten, die es bei diesen Therapiekonzepten zu beherrschen gilt und die daher auch im Hands-on Teil trainiert werden.
- Anatomie und Resorptionsvorgänge im Frontzahnbereich
- Grundprinzipien der Sofortimplantation
- Einzelzahnersatz bis Sofortversorgung im zahnlosen Kiefer
- Praktische Herangehensweise: Fallauswahl, Vorgehen, Stolperfallen
- Limitation, Grenzen und Komplikationen
- Sofortversorgung: chairside (analog) vs. präfabriziert (digital)
- Gegenüberstellung der Systeme
- Hands-on-Training
Level:
Anfänger bis Fortgeschritten
Referierende
PD Dr.
Jonas
Lorenz
Veranstalter
DGI GmbH
DGI Fortbildung / Organisation
Karlstr. 60
80333
München
Ansprechpartner*in
Sabine
Ahlers
DGI Fortbildung / Organisation/ Fortbildungskoordination
DGI GmbH
Karlstr. 60
80333
München
+49 (0) 89 55 05 209-10
Fortbildungspunkte
9
(Punktebewertung nach den Leitsätzen der BZÄK/DGZMK)
Herzlichen Dank an unsere Sponsoren
Kursbeschreibung
Konzepte für die Sofortimplantation und Sofortversorgung gewinnen seit einigen Jahren zweifelsfrei an Bedeutung. Besonders bei günstigen anatomischen, aber auch entsprechend positiven patientenspezifischen Faktoren ist die Sofortimplantation und Sofortversorgung besonders beim Einzelzahnersatz Mittel der Wahl. Sie sollte darum im Behandlungsspektrum implantologisch tätiger Zahnmediziner/-innen, Chirurgen und Chirurginnen nicht fehlen. Die modernen Sofort-Konzepte verkürzen nicht nur die Behandlungsdauer erheblich, sondern begrenzen auch resorptive Vorgänge, die oftmals augmentative Maßnahmen nach sich ziehen.
Doch ist es wirklich so einfach: Zahn raus, Implantat rein, Krone drauf – und schon sind alle glücklich, Patient und Behandler? Und sind Sofortimplantation und Sofortversorgung ein universell einsetzbares Behandlungsprotokoll? Dies ist keineswegs der Fall. Besonders bei initialen Hart- und Weichgewebedefiziten sollte die Indikation genau geprüft und das chirurgische Vorgehen angepasst werden.
Die Teilnehmerinnen und Teilnehmer an diesem Kurs lernen daher, die Indikation richtig zu stellen. Vermittelt werden auch die erforderlichen Grundkenntnisse und Fähigkeiten, die es bei diesen Therapiekonzepten zu beherrschen gilt und die daher auch im Hands-on Teil trainiert werden.
- Anatomie und Resorptionsvorgänge im Frontzahnbereich
- Grundprinzipien der Sofortimplantation
- Einzelzahnersatz bis Sofortversorgung im zahnlosen Kiefer
- Praktische Herangehensweise: Fallauswahl, Vorgehen, Stolperfallen
- Limitation, Grenzen und Komplikationen
- Sofortversorgung: chairside (analog) vs. präfabriziert (digital)
- Gegenüberstellung der Systeme
- Hands-on-Training
Level:
Anfänger bis Fortgeschritten
Referierende
PD Dr.
Jonas
Lorenz
Veranstalter
DGI GmbH
DGI Fortbildung / Organisation
Karlstr. 60
80333
München
Ansprechpartner*in
Sabine
Ahlers
DGI Fortbildung / Organisation/ Fortbildungskoordination
DGI GmbH
Karlstr. 60
80333
München
+49 (0) 89 55 05 209-10
Fortbildungspunkte
9
(Punktebewertung nach den Leitsätzen der BZÄK/DGZMK)
Herzlichen Dank an unsere Sponsoren
